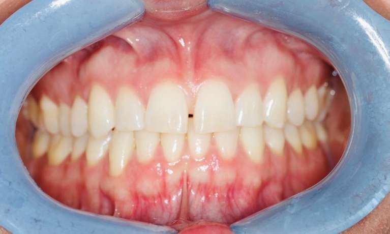
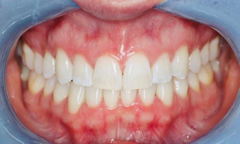
How Do Clear Aligners Move Teeth?

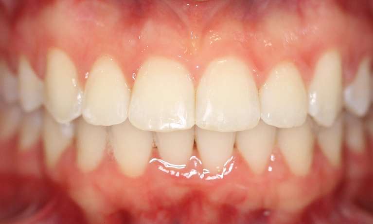
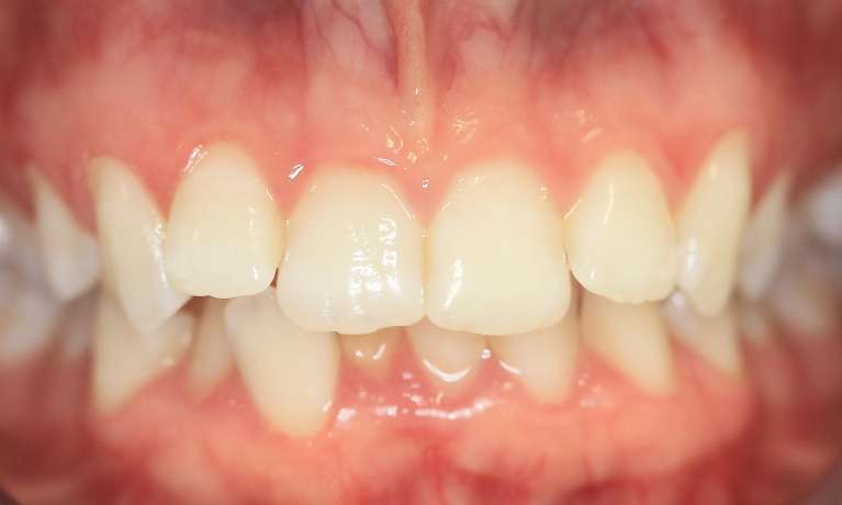
Instead of using braces to move teeth, Invisalign uses custom clear aligners that fit snugly against your teeth and gently move them into the correct alignment.
If clear aligners are right for you, we use 3-D imaging to create your treatment plan, and Invisalign uses her treatment plan to create a custom series of aligners for your smile.
You’ll wear your aligners for at least 22 hours per day, removing them for meals, brushing, and flossing. You’ll change your aligners every one to three weeks according to our treatment plan for your smile.
The Advantages of Invisalign Clear Aligners
Adults and teens appreciate the many advantages that clear aligners provide.
- Discretion — Since the plastic aligners are clear, they’re virtually invisible, so no one notices your orthodontic treatment.
- Freedom — There are no restrictions to your diet with clear aligners since they’re removable for meals.
- Ease — You can easily brush and floss your teeth without navigating brackets and wires.
- Comfort — Clear aligners are smooth and more comfortable to wear than brackets and wires, which can poke soft tissues.
As a general and family dentist, Dr Claudia holds a graduate diploma in orthodontics, an area she's particularly passionate about. At Mountain Dental Care, she provides comprehensive orthodontic treatment for adults and children, including traditional braces and clear aligners with Invisalign.