Mountain Dental Care
Home
About
Our Team
Technology
Practice Photos
Services
View All
BOTOX® Treatment
Treatment for TMD and Bruxism
Family Dentistry
Crowns and Bridges
Root Canal Treatment
Dental Implants
Teeth Cleans and Exams
Orthodontic Treatment
Cosmetic Dentistry
Dental Veneers
Smile Gallery
Patient Info
View Patient Info
Forms
Financial
FAQs
Contact
Mountain Dental Care
Book Online
Like us on Facebook
Instagram
(07) 5545 2522
4E 17-27 Main Western Rd
Tamborine Mountain, QLD 4272
Mountain Dental Care
>
Smile Gallery
>
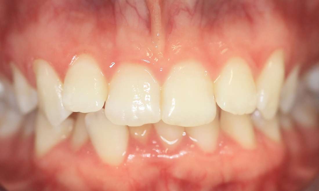
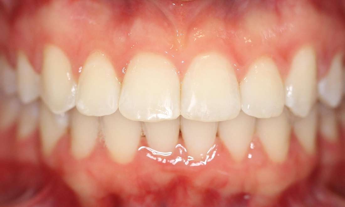
Orthodontic Treatment
Orthodontic Treatment
Return to Smile Gallery
Previous
Related Services:
Orthodontic Treatment
Click image to see a larger picture
Before
After
Not finding what you need?
Contact Us
Any surgical or invasive procedure carries risks. Before proceeding, you should seek a second opinion from an appropriately qualified health practitioner.
OK!
×
×
Contact Us Today
Give Us A Call
Mountain Dental Care -
(07) 5545 2522
Send Us an Email
Ready to Schedule an Appointment?
Book Online
Have Questions? Contact Us:
Required Field
Your Name:
Phone:
Email:
Are you a new patient?:
Are you a?
New Patient
Current Patient
How would you like us to contact you?
Please choose
Email
Call
Reason for your message:
Please choose
Free Orthodontic Consult
Other
Who Referred You?:
Your Message:
This site is protected by reCAPTCHA and the Google
Privacy Policy
and
Terms of Service
apply.
Sending...
×
This Patient's Experience
Loading Testimonial...
Loading Case...